识别数据
CT影像—->MRI、X光、超声、热红外等—->病例、处方单、治疗方案等。

疾病种类
肺部疾病—->乳腺、肝脏、脑部等疾病—->全身各部位、基因遗传疾病等。
健培使用最先进的人工智能算法,对医学影像进行自动分析,给出高可靠性的识别结果,辅助医生诊断。
阶段一:判断疾病识别,分类疾病
阶段二:搜集证据分割,定位病灶
阶段三:综合会诊联合,可靠确诊

啄医生(阅片机器人)产品特性
免部署集成版本SenseCare一体机
疾病筛查
在大量数据中,快速筛查疑似病灶,帮助医生高效判别病例影像中是否含有疑似病灶区域。
定位病灶
确定疑似病灶后,给出定位,让医生快速诊断,真正节省了医生时间,两重诊断更加保险,将漏诊误诊的可能性降到最低。
定量标注
量化诊断可以精确衡量病灶大小,确定疾病发展情况,用最科学的方式给与医生支持。
科学诊断
使用当前最先进的深度学习技术,从存储到诊疗一站式帮助医生解决诊断问题,随着系统的完善,更多疾病检测和更加丰富的系统内容将会更好服务医疗。
SenseCare诊断服务平台
SenseCare诊断服务平台采用健培自主研发的机器学习库MLLib与医学图像处理库MedImage实现。MLLib与MedImage囊括了目前大部分医学图像处理与分类的算法,同时还包括健培科技改进与创新的20多项专利技术,充分保证了SenseCare诊断云的实用性与先进性。
SenseCare目前包含两个主要诊断功能:疾病识别与相似病例检索。疾病识别功能采用传统模式识别技术与最新深度学习技术对输入影像进行分析与学习,构建诊断模型。同时,模型具备进化功能,能够在诊断中不断地优化模型,从而使得模型能更为贴切地反映真实世界的状况,达到高精度的诊断目标。

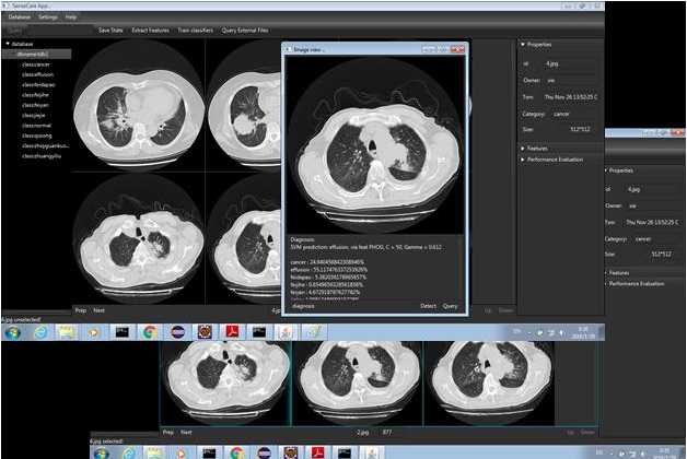
SenseCare疾病诊断与相似病例检索UI
SenseCare具备病灶识别与评估功能,能识别与显示病灶位置、大小等关键信息,并仿照国际著名病情分级和病种语义字典标准RadLax,以规范化的格式,自动输出诊断报告。相似病例检索功能,可根据病例间的特征,寻找最为相似的病患病例,为目标患者的诊断与治疗提供可靠的参考。
经过对3820例病例的实验测试,SenseCare诊断云在肺部CT影像的11种疾病识别率高达90%。

啄医生实施解决方案
SenseCare诊断云为HealthView驻地云提供大数据智慧医疗云服务,包括临床辅助诊断,相似病例检索等核心功能,也可扩展用于疾病预测,精准医疗等领域。
识别数据
CT影像—->MRI、X光、超声、热红外等—->病例、处方单、治疗方案等。
诊断云应用案例
某三甲医院经过多年的建设与发展,现已成为一家设备精良、技术力量雄厚的集医疗、急救、教学、科研、保健、康复于一体的现代化综合医院。
近年来该医院充分利用计算机网络化管理的优势各项工作有了较大飞跃医院建设得到长足发展。目前拥有核磁共振影像系统、螺旋CT、西门子数字减影造影X线机(DSA)、数字X光机(DR)、车载透视机、彩色B超、彩色电子胃镜、十二指肠镜、电子肠镜、纤维支气管镜、坐式和卧式高压氧仓全自动血液分析仪、全自动生化分析仪等一大批高精尖仪器设备为诊断治疗的高效、准确提供了有力的保证。因此医院对数据的传输和管理以及医生观片诊断的效率提出更高的要求。
健培的大数据分析技术使用最先进的人工智能算法,对医学影像进行自动分析,给出高可靠性的识别结果,辅助医生诊断。利用大数据、人工智能、互联网等技术,充分挖掘医疗大数据价值,提高医生诊断效率、提高诊断精度、实现智慧医疗、精准医疗、提高病人满意程度。
SenseCare智慧医疗诊断云
功能:
√基于云端的影像管理;
√基于web的在线阅片;
√辅助诊断报告;
√相似病例检索;
√诊疗方案建议;
优势:
√减少医生工作量 ,提高工作效率;
√通过人工智能算法,提供临床智能诊断;
√降低医学诊断失误,帮助医生精准诊断;
√实现病例,影像数据等资源的全领域共享;

175万,广州医科大学附属第一医院采购医疗设备招标项目采购结果公告
99万,中山大学附属第一医院医保综合管理系统二期项目公开招标
239万,北大荒集团牡丹江医院信息系统升级改造服务中标结果公告
65万,福鼎市中医院DIP临床路径信息系统竞争性磋商公告
1599万,广州中医药大学第一附属医院重庆医院(重庆市北碚区中医院)智慧医院一体化信息系统及医院HIS系统软硬件建设中标公告
166万,昌宁县医共体审方中心系统(二次)中标结果公告