从各种医学影像检查设备中获取、存储、处理影像数据,传输到体检信息系统中,生成图文并茂的体检报告,满足体检中心高水准、高效率影像处理的需要。
自主知识产权:拥有完整知识产权,能够同其他模块无缝对接
国际标准:按照国际规范DICON3.0标准处理医学影像数据
无缝对接:无缝对接各种体检影像检查设备,如B超、CT、MRI、DR
优质报告:具有强大的报告模板功能,影像技师可快速生成高质量的影像检查报告
快速存取:分级存储海量影像报告数据,支持影像报告的快速存取
系统目标
系统设计的目标,是为了在医院建立一套有效投入使用、切实提高医院医疗诊断水平、方便医生工作和病人就诊、进一步提高医院经济效益的实用、先进、可靠的PACS影像中心系统,通过使用先进的计算机技术利用计算机系统代替传统的胶片图像记录、胶片和报告的库房存储、检查图像的人工传递、在光箱上重现图片,并将各个影像科室图像连接共享以及和临床科室的信息共享,充分发挥数字医疗影像的临床效益,并达到以下目的:
实现医院影像资源的充分共享
充分利用PACS网络,实现所有影像设备的集中存储和影像资料共享,以实现影像科室任意调阅其他影像科室的影像资料和报告资料;同时,影像资料还可以被临床科室、门诊、手术室等部门用户调用。
建立基础的、开放的医疗影像应用平台
面对医院众多的影像设备和系统,建立医院基础的、开放的数字化影像应用平台,有效的将所有的影像设备进行互联,尤其是对诸如普通放射设备的数字化解决方案,不仅最大程度提高了既有设备的使用价值,而且更好的发挥了设备以及各个系统在诊断治疗过程中的所用,同时,影像的应用不再局限于影像科室,而是最大程度将影像的高效利用延伸到医院所有临床科室、手术室等
有效提高临床医疗诊断水平
利用先进的计算机技术,通过实现影像的数字化存储、传输、浏览,为医院的临床医生提供数字化的快速、方便、灵活的阅片方式,从而提高诊断的正确性,降低误判、误诊的概率,防止医疗事故的发生,同时,减少了医生和病人取片、等片的时间,加快诊断的速度,其次,便于医生之间进行影像的交流与共享,进一步提高诊断、治疗、科研水平。提高医院的经济效益
通过PACS/RIS系统实现影像的数字化,可以进一步提高医院的经济效益,具体表现为:首先,提高了医院的诊断、治疗的水平,加快了诊断、治疗的速度,减少病人等待、滞留的时间,而且提高了医生的工作效率和设备的使用效率,无形中很大的提高了医院的经济效益;其次,影像的数字化,可以减少胶片的制造、购买、使用、存放的费用,减少漏片、丢片的现象,很大程度上明显的为医院创造了客观的经济效益;第三,提高了医院的声誉和吸引力,吸引更多的病人来医院治疗,从而促进医院进一步增加经济效益、扩大医院规模、提高医院整体水平。
系统设计原则
实用性:系统的设计建设从满足当前的需求出发,尽可能选择具有最佳性能价格比的系统硬件设备和系统软件,减少系统运行的费用。
先进性:要采用最先进的软件、硬件技术,以适应PACS相关技术长远发展的要求,既要满足目前的现有需求,有要充分考虑未来的发展,同时,也要考虑其成熟性和稳定性。
可靠性:本系统用于关键性业务,对于系统的可靠性有很高的要求。我们在设计中充分考虑系统的体系结构,安全的策略的方面。系统具有高可靠性的保障措施。
扩展性:信息时代数据呈现爆炸性的增长,整个系统的设计要充分考虑其伸缩性,一方面是系统结构的灵活性、易扩展性,另一方面是技术的升级性、兼容性。我们在设备的选型等方面按照实际需求,提出了合理的方案,避免盲目选择高档设备从而造成投资浪费,也要避免配置过低而影响使用和将来的扩充。
安全性:由于业务系统的特殊性。本系统对于安全性有比一般关键业务系统更高的要求。不仅要求整个系统能安全运转,同时要防止受病毒软件的破坏。因此,在设计方案中要充分考虑系统的安全性,以保证系统的正常运行。
开放兼容性:遵循开放性原则,采取开放性的架构,选用符合国际标准的产品,可以保证系统具有较长的生命力和扩展能力,满足将来系统升级的要求,保护用户的资源。只有开放的系统,才能在投资规模、扩展能力等方面获得实惠。
实际需求与潜在需求:存储系统对于存储数据的医疗系统来说,最重要的是可靠性和实用性,除此之外,我们还考虑了用户将来的潜在需求,如网络规模扩大、应用服务增加、存储传输拥挤需升级等。在存储系统方案设计时,应充分考虑这些实际的和潜在的需求。
系统流程
系统工作流程
根据医院现有的工作流程和IHE相关的文件和建议,我们设计的PACS系统实施后的工作流程,如下图:

系统数据流程
系统的数据流程如下:

检查登记
可以直接登记病人信息,也可以接受分诊台统一登记的信息,在病人列表中选择就诊病人。输入检查部位时,可以先选择检查项目,这样系统会自动过滤检查部位。(会根据检查项目和性别进行自动过滤)。

影像采集和获取
1、支持以RGB、混合视频等多种方式实时显示影像,实现静态动态图像的采集获取。
2、支持分辨率、亮度、色度、饱和度、对比度等多种视频调节方式,最大限度满足临床诊断需要。
3、支持目前绝大多数医学专用视频采集卡、兼容性强。

诊断报告管理
u 由系统自带的一些可供医生选择的对应各个检查项目的诊断内容。医生在填写诊断报告时,可以直接在模板区选定对应检查项目后,双击对应的“检查所见”和“诊断提示”内容,则系统会自动将该内容添加到报告对应的位置上。此外还提供个人模板,可以将一些有代表性或共性的某个人的诊断报告保存起来成为模板,已备其他如果与此人结果类似时可以直接调用即可。
u 人员查询:可以利用多种条件组合进行检查人员信息或报告的查看。
u 报告处理区:完成报告的保存、审核、打印、发布,追回。

迅影PACS的影像增强技术
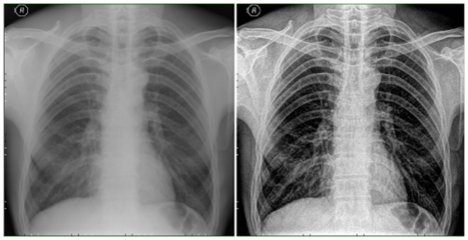
通常,从放射设备采集的原始图像动态范围很大,在显示设备上显示时进行的动态范围压缩大都是线性的,使得图像的细节往往不能满足放射医师的诊断需求,而一些非线性变换如伽马校正、直方图均衡化等也不能根本上改善图像的细节,传统的影像增强技术在改善图像边缘的同时,也增强了噪声。比较先进的处理办法是频域处理或多分辨率分析,其思路是把图像分解成不同分辨率的子图像,根据需要对这些子图像进行处理,包括增强和抑噪,重建以后可以得到较好的图像质量,在临床诊断上有很重要的应用价值。

注:传统的影像处理技术很难达到这种效果
局部处理(CR):

原始图像经普通边缘增强后的效果
通过多尺度对比度增强技术可成功应用在PACS系统针对X-ray图像的处理过程中。图像中不同尺寸的低对比度细节的视觉质量显著改善,这种处理方式不会产生严重的边界效应(振铃效应),这一优点使得此技术能够广泛应用于CT、MR、DR、CR、数字乳腺诊断等成像。
 
                         
                                             
                                             
                                             
                                             
                                                 
                                                 
                                                 
                                                
72万,凤冈县人民医院及医共体分院审方中心信息化建设项目的竞争性磋商公告
199万,昆明医科大学第一附属医院智能采血管理系统采购项目(二次)中标公告
154万,佛山市三水区人民医院医院信息系统年度维护服务中标公告
1800万,长春中医药大学附属医院磁共振成像系统采购项目招标公告
170万,龙井市人民医院 医院信息系统(HIS)采购项目竞争性磋商公告
202万,隆昌市人民医院HIS系统升级采购项目中标(成交)结果公告